Home About Approach Cases Definitions Contact me Recommendations

Case 1. Right-sided weakness and inability to speak

Outcome

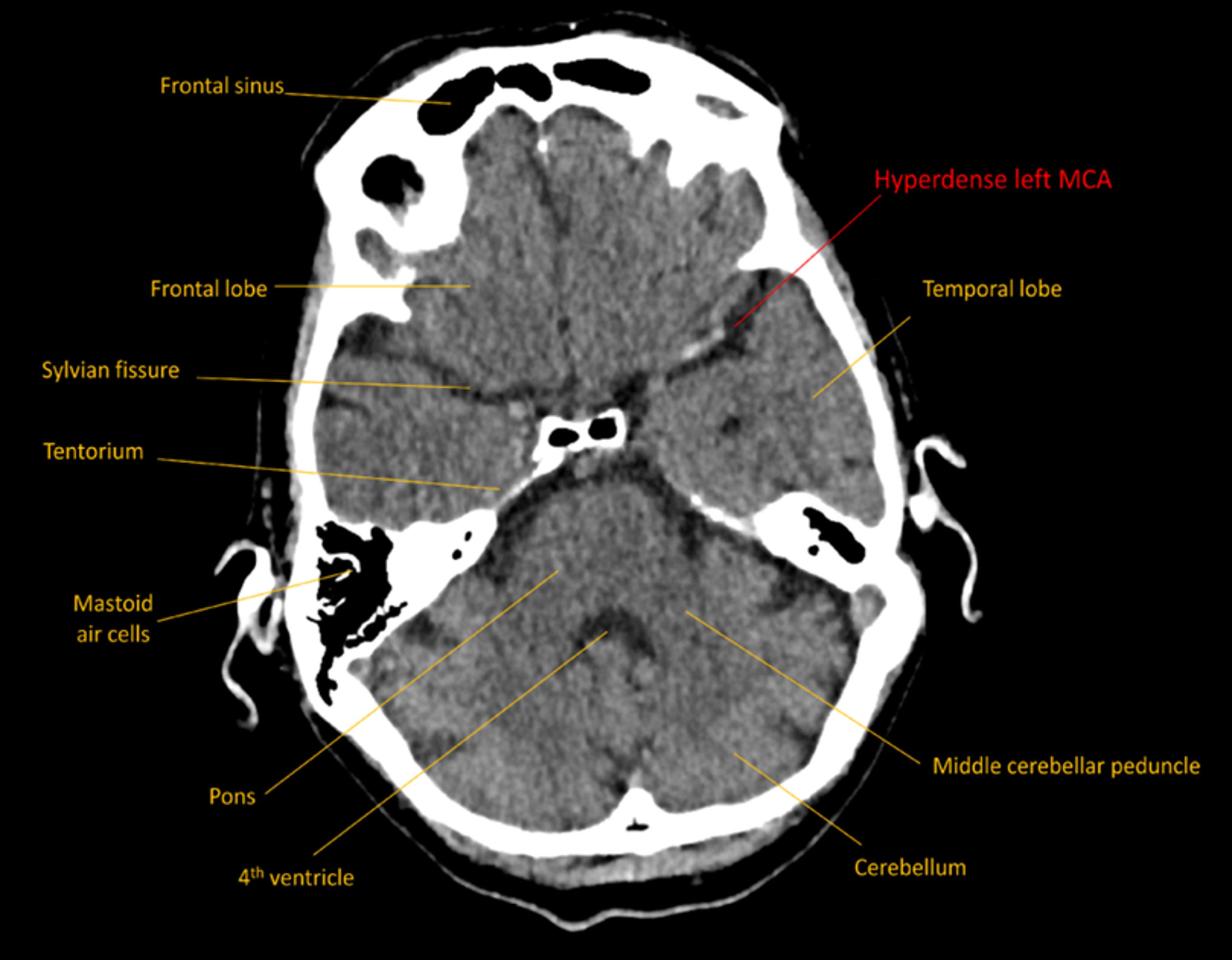
CT imaging showed no signs of acute haemorrhage. There were changes consistent with early ischaemic changes in the left hemisphere in the MCA territory, with subtle loss of grey-white matter differentiation around the insular territory, as well as hyperattentuation in the left MCA, suggestive of an occlusive thrombus.

Hyperdense MCA on CT

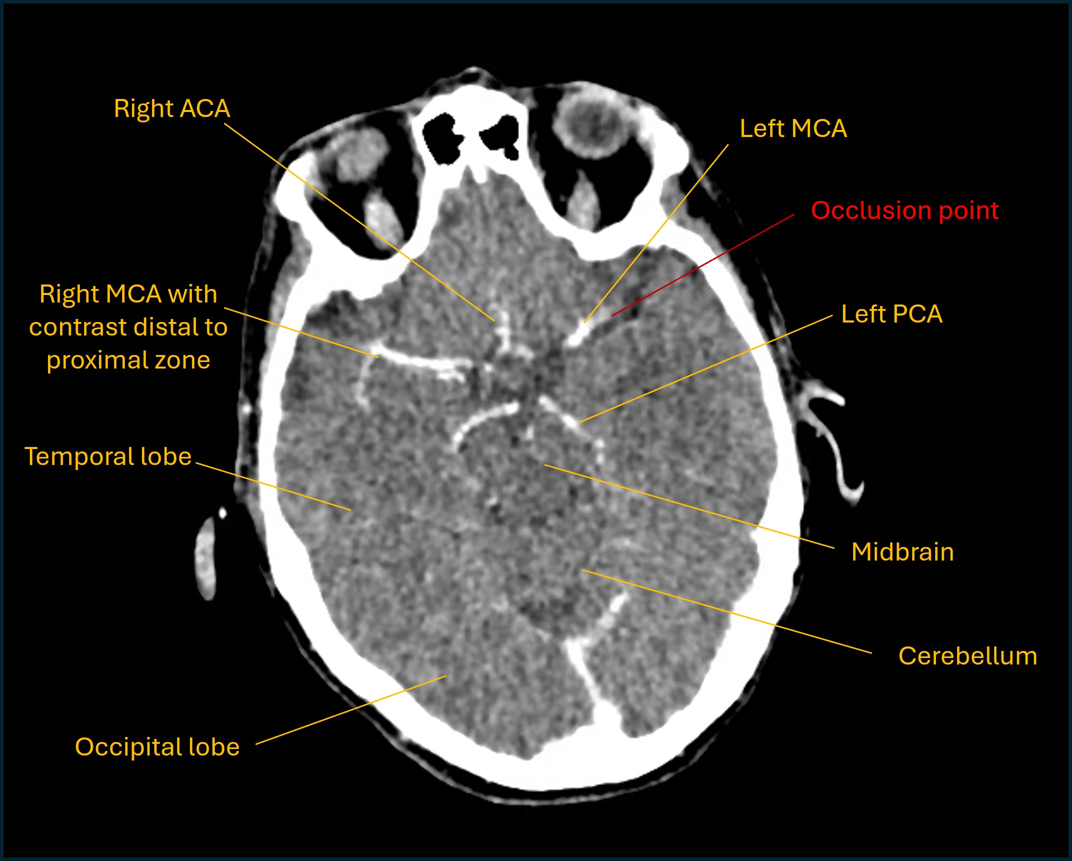
This was confirmed on CT angiography, with occlusive thrombus sitting in the distal M1 segment of the MCA, all the way to its bifurcation into superior and inferior segments in the Sylvian fissure.

CT angiogram

Her carotids were both significantly narrowed by atherosclerosis, particularly the left one - which was the likely source of the thrombus (artery-to-artery embolism).

Perfusion imaging indicated a small area of infarcted ‘core’ (30mL) in the deep subcortical white matter, and a large surrounding area of ischaemic, viable, ’penumbra’ (120mL). The ratio of the penumbra to the core - the mismatch ratio - was 4.6. This suggested a large area of brain under threat of infarction but not yet dead, supported by collateral vessels (for now) – amenable to rescue via reperfusion before the collaterals fail. The CT perfusion study is shown below; ischaemia without infarction is shown in the areas with increased time-to-peak (red), reduced cerebral blood flow (blue), but preserved cerebral blood volume (green). They very neatly trace the outline of the MCA territory - showing what a large lesion this is.

Perfusion CT

The patient was given thrombolysis with alteplase and underwent a thrombectomy, using a guidewire passed from the femoral artery backwards until within the cerebral circulation. The thrombus was retrieved leading to reperfusion in the recanalised vessel, as depicted below.

FEF

FEF

FEF

FEF

The restored MCA circulation after the successful clot retrieval is shown on the coronal angiogram below.

Angiography

In the recovery zone the patient’s speech was improving and she had regained right-sided movements. She had a 48 hour hospital stay and was fully mobile and with full right-sided strength, but some minor residual hesitancy in speech.

The cause was carotid stenosis, and she underwent successful carotid endarterectomy a week after discharge.

At follow-up she remained well, with complete recovery of her speech and no residual neurological symptoms whatsoever - which is the best possible outcome after such a large stroke, thanks to prompt treatment.

Final diagnosis

Left MCA territory ischaemic total anterior circulation stroke (TACS), presenting with hemiplegia, combined dysphasia and hemianopia, due to a left carotid stenosis – with complete recovery after reperfusion therapy, and a successful carotid endarterectomy later.

Key points:
  1. Stroke is the chief concern in people with abrupt-onset lateralised neurological deficits, and timely recognition is key to maximise the chances of a good outcome
  2. Ischaemia precedes infarction, and in the initial period the collateral vessels can keep some areas of brain supplied (the ischaemic penumbra) - and in these areas the brain damage is not yet permanent. The collaterals will fail in time, so reperfusing the main artery is crucial
  3. Assessing people for acute stroke needs to be rapid and focused. The NIHSS tool is a reliable and quick method. In people who cannot communicate, macro-level shortcuts exist such as visual threat – but some aspects (e.g. sensation) cannot be tested without the patient’s communication
  4. This patient enjoyed a rapid and complete recovery post-reperfusion, but for other patients it is not always as successful - and it is not without its own risks

Return to Cases