Home About Approach Cases Definitions Contact me Recommendations

Case 2. Clumsy hand

Outcome

MRI showed a lesion in the right cerebellar hemisphere, with appearances suggestive of a recent haemorrhage surrounding an underlying lesion - shown on the sagittal T1 and axial T2 MRI images below: .

Sagittal MRI

Axial MRI

A differential diagnosis was suggested, including tumour, but the imaging was thought most likely to reflect an underlying cavernoma.

The patient was stable, so no immediate intervention was needed. He remained under follow-up with plans for a repeat MRI, in the hope that as the haemorrhage resolved the lesion would be more clearly visible.

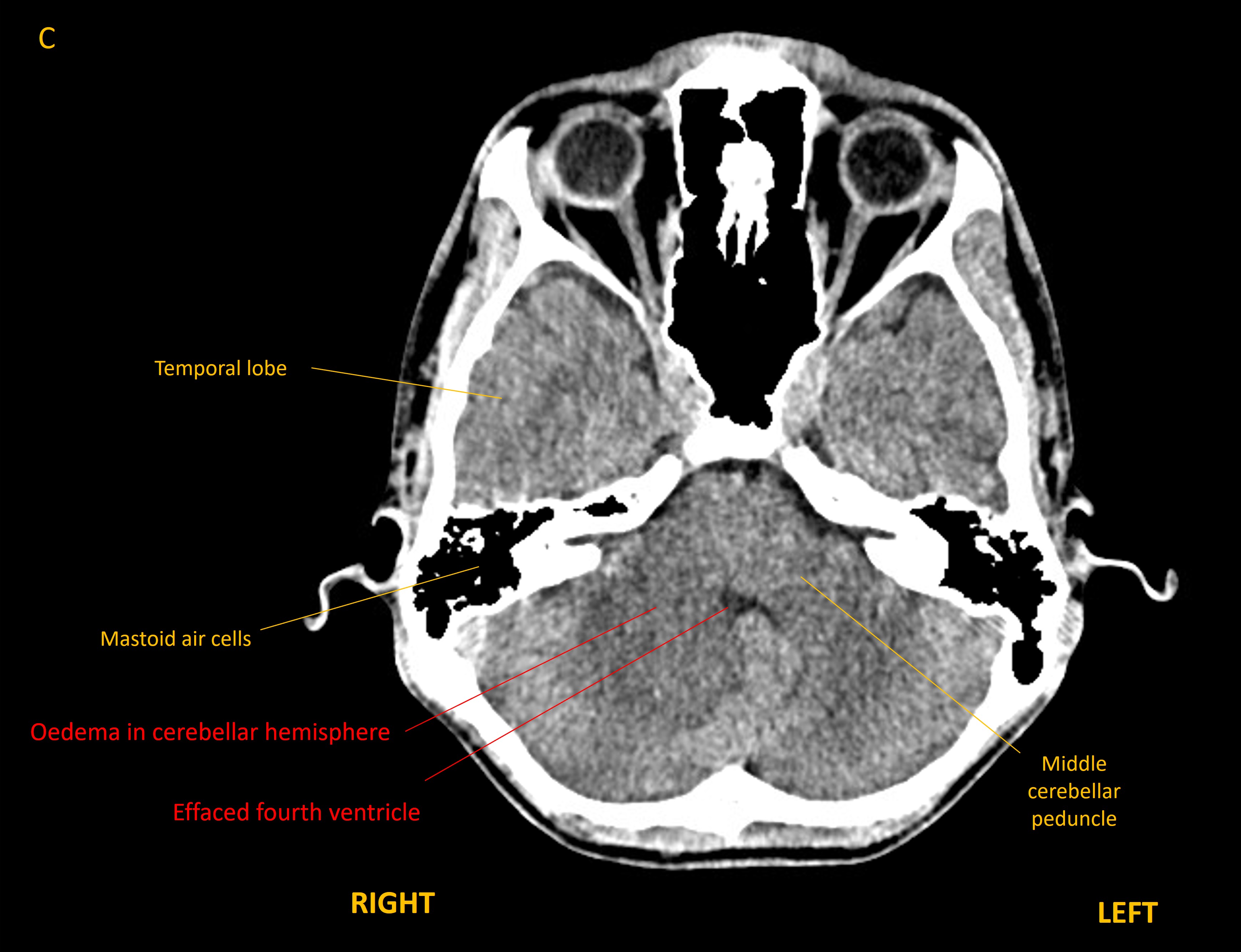
However, he deteriorated 5 weeks later, with headache, vomiting, vertigo, worsening ataxia (walking as if drunk), and dysarthric speech. CT imaging showed hydrocephalus developing - with dilatation of the temporal horns of the lateral ventricles - as well as effacement of the fourth ventricle lower down.

Axial CT brain

Axial CT brain

He was transferred to a neurosurgical centre and had an external ventricular drain inserted to relieve the hydrocephalus. In the following days had a posterior fossa craniotomy and removal of the lesion, which was confirmed to be a cavernoma.

He experienced gradual recovery in the following months, though still had some residual right upper limb ataxia on examination at follow-up 6 months later. A sagittal T1 MRI is shown below, with the resection cavity visible.

Sagittal MRI

18 months later, the patient had regained good use of the right arm, but still experienced minor difficulties in writing, and in reaching for objects (e.g. glasses of water). He had residual difficulties with the sports he used to play. However, he was living and working independently.

Final diagnosis

Ataxia and subsequent hydrocephalus due to cerebellar haemorrhage from underlying cavernoma

Key points

  1. Cavernomas are often found incidentally, but when they cause symptoms these are usually due to haemorrhage or seizures (in cortical lesions)
  2. A minority are infratentorial, as in this case
  3. In many cases conservative treatment is all that's needed - for example anti-seizure medications
  4. In some cases however surgical resection is required - for example significant haemorrhage

Return to Cases