Home About Approach Cases Definitions Contact me Recommendations

Case 8. Bumping into things

Outcome

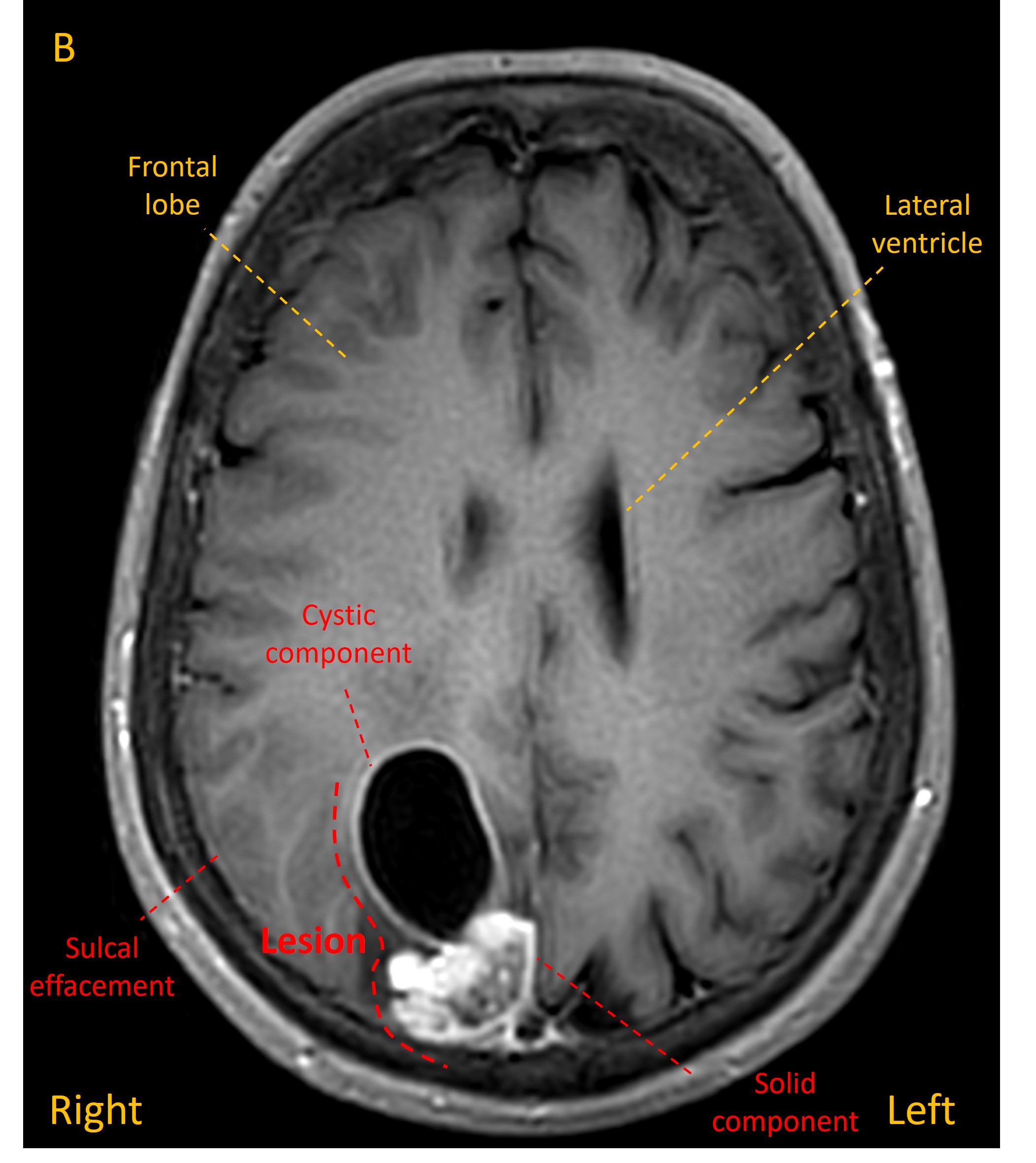
An MRI revealed a mass in the right parietal lobe with a solid component and a deeper cyst, associated with some white matter oedema and some sulcal effacement (images A-C).

MRI 1

MRI 2

MRI 3

Body imaging was unremarkable with no evidence of metastasis.

She underwent surgical debulking of the lesion. Pathology confirmed breast cancer metastasis.

She was treated with steroids, radiotherapy and chemotherapy on a palliative (life-prolonging but not curative) basis.

Unfortunately the disease was progressive and she passed away 3 years after presentation.

Final diagnosis

Left homonymous inferior quadrantanopia due to right parietal breast cancer metastasis, affecting superior radiation - managed palliatively.

Key points
  1. Visual field defects do not always present with subjective complaints of loss of vision - people may instead notice the consequences, particularly bumping into objects or tripping
  2. Stroke is the main concern in acute visual field defects - but tumours can present in a stroke-like fashion, too
  3. Breast cancer, even curatively treated, has a tendency to recur with central nervous system metastasis, even years later - so should always be a consideration

Return to Cases