Home About Approach Cases Definitions Contact me Recommendations

Case 18 - Double vision and jumping eyes

Outcome

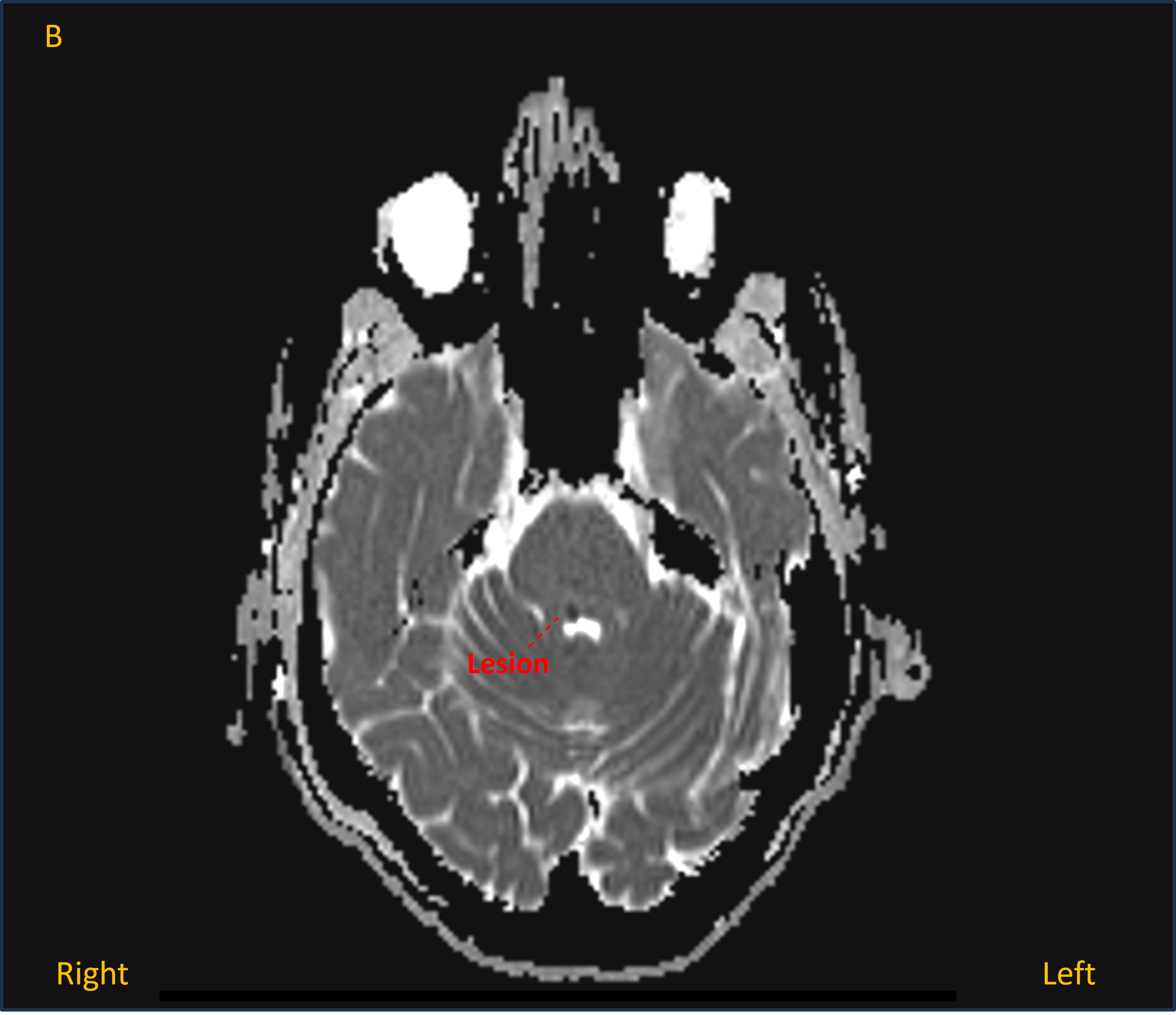
A CT head was unremarkable, but has low sensitivity for many lesions in the posterior fossa, so an MRI was performed. This showed an acute lacunar infarction in the right dorsal upper pontine tegmentum - bright on diffusion-weighted imaging (image A) and dark on apparent diffusion coefficient map (image B).

MRI A

MRI B

The patient was managed with antiplatelets and secondary prevention including statin and blood pressure control. He was told not to drive given diplopia. He had follow-up with ophthalmology services to manage the diplopia.

His symptoms and ophthalmological abnormalities resolved within 3 months.

Final diagnosis

Acute diplopia with right INO, skew deviation and upbeat-torsional nystagmus due to a lacunar infarction in the right dorsal pontine tegmentum.

Key points
  1. Many patterns exist for nystagmus - but upbeat nystagmus is always a ‘central’ sign
  2. Internuclear opthalmoplegia localises to the medial longitudinal fasciculus, which connects nerves VI (pons) and III (midbrain) and travels next to the midline in the dorsal brainstem
  3. Skew deviation is a central sign localising to the brainstem or cerebellum but not one particular region - it can be subtle, so cover-uncover testing helps identify it

Return to Cases